Before and After at The Smile Spot

The Smile Spot

Before and After Transformations at The Smile Spot

Welcome to the Before and After page of The Smile Spot! Here, we showcase the incredible transformations achieved by our expert dental team. These real-life success stories highlight the life-changing results we’ve delivered to patients across Dulwich Hill and the surrounding areas. From restoring confidence to creating stunning smiles, we are proud to share these inspiring journeys with you.

Why Choose The Smile Spot for Your Dental Transformation?

  • Experienced Team: Led by Dr. Dimitrios Thanos, our team has over 25 years of expertise in advanced dental treatments.
  • Personalised Care: Every treatment is tailored to the unique needs and goals of each patient.
  • State-of-the-Art Technology: We use the latest in dental innovation, including laser dentistry and premium materials.

 

Explore the incredible transformations below and see how we can help you achieve your dream smile.

Bob’s Story: Restoring Worn Teeth with Composite Veneers

Bob visited The Smile Spot to address his worn lower teeth. After discussing his options, he chose composite veneers. In just a 60-minute appointment, Bob’s smile was transformed. Three years later, Bob is still proudly smiling down Marrickville Road.

IMG_0856-1024x683
IMG_0862-1024x683

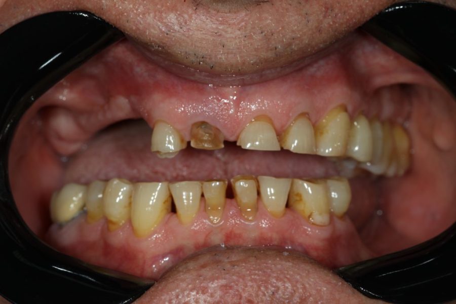
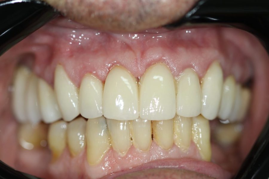
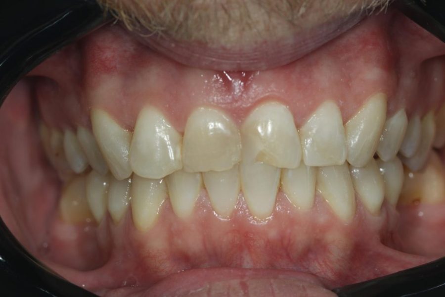
Percy’s Story: Replacing a Missing Tooth with a Dental Implant

Percy came to us with a missing front tooth caused by an unfortunate accident. We placed a dental implant, and four months later, completed the transformation with a natural-looking crown. Percy now has a restored smile he’s proud of.

IMG_0803-1024x683
IMG_0990-1024x683

Rose’s Story: A Stunning Smile with Composite Veneers

Rose wanted to tidy up her front teeth and opted for composite veneers. After just 60 minutes, her smile was transformed. Rose couldn’t be happier with the results and graciously allowed us to share her story.

IMG_1093-1024x683
IMG_1146-1024x683

George’s Story: Customised Zirconium Bridges

George, hesitant at first, came to fix his front teeth at his wife’s insistence. After two appointments, he received zirconium bridges, giving him a full and natural smile—while preserving his signature gap.

IMG_0795-1024x683
IMG_1073-1024x683

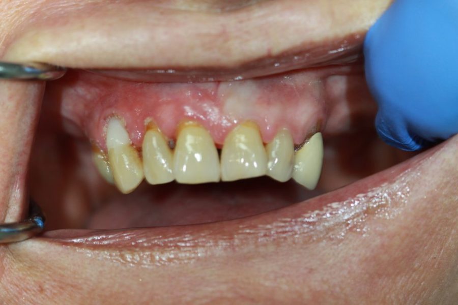
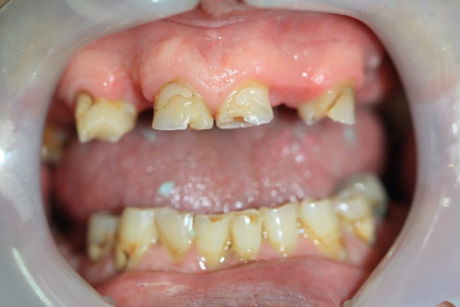
Henry’s Story: A Full Smile Makeover

Henry’s broken teeth were impacting his confidence. With a combination of root canal therapy, laser gum surgery, crowns, and dentures, we restored his smile over four weeks. Now, his family and grandchildren are thrilled with his transformation.

IMG_1134-1024x683
IMG_1131-1024x683
IMG_1192-1024x683
IMG_1225-1024x683
Satisfied Customers
0 K+
Professional Worker
0
Achievement

Over 1300+ Complete work & Still counting

Lorem ipsum dolor sit amet, consectetur adipisci elit, sed do eiusmod tempor incididunt ut labore et dolore magna aliqua. 

Successful projects
0 K
Years of experience
0 +

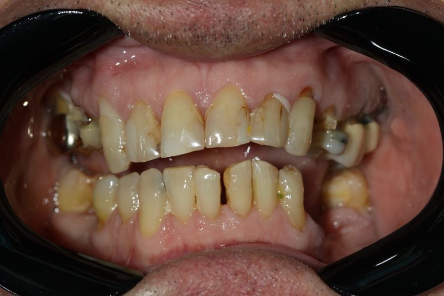
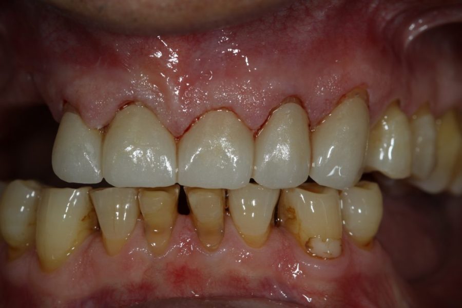
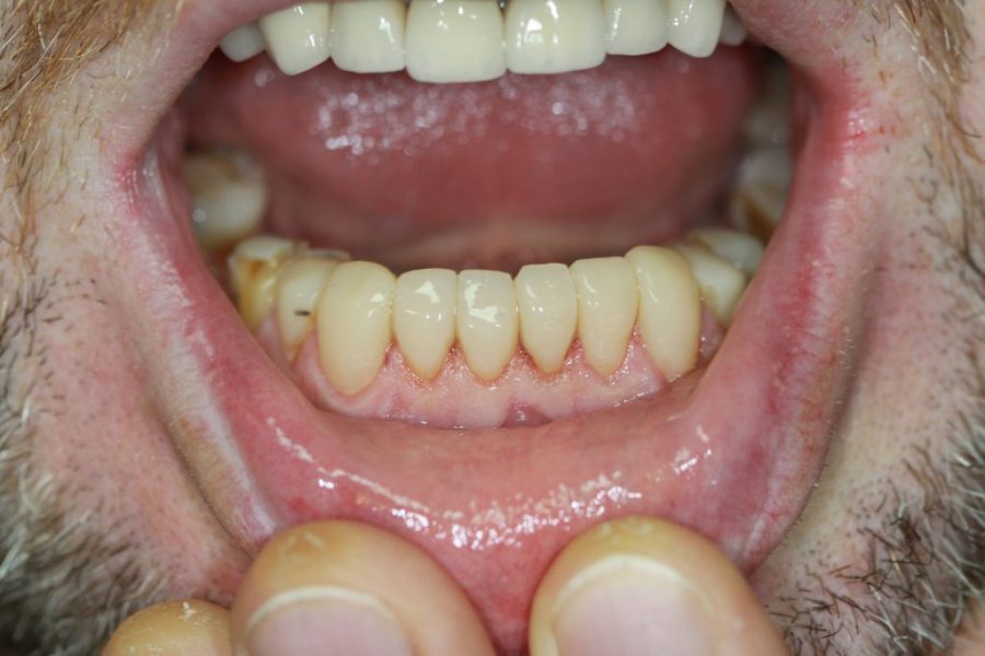
Mario’s Story: Fighting Gum Disease with Implants and Bridges

Mario came in with severe gum disease. We restored his lower teeth first, then placed four implants with a zirconium bridge for his upper teeth. Six months later, Mario’s new smile has become his favourite feature.

IMG_0790-1024x683
Smile-Spot-After-3-1024x638

Dana’s Story: Overcoming Years of Hesitation

Dana had wanted to fix her front teeth for years and finally took the plunge. After seeing the results, she wished she had done it sooner. Dana’s bright, rejuvenated smile speaks volumes.

IMG_0738-1024x683
IMG_0773-1024x683

Frank’s Story: Repairing Damage with Dental Crowns

Frank, a kickboxer and teeth grinder, came to us for help. We placed six crowns on his front teeth, giving him a strong and stunning smile. Frank now spends more time dodging punches than worrying about his teeth!

IMG_1287-1024x683
IMG_1312-1024x683

Con’s Story: A Family Celebration of Smiles

Con, a local delivery man, asked how he could “get on our website.” Four weeks later, with his wife and daughters ecstatic, Con proudly showed off his new smile, thanks to The Smile Spot.

Smile-Spot-Dentistry-Con-1-1024x683
Smile-Spot-Dentistry-Con-1024x683
Screen-Shot-2021-02-11-at-10.23.46-am
Screen-Shot-2021-02-11-at-10.23.52-am

Start Your Smile Transformation Today

Are you ready to achieve a smile you’ll love to share? You can see some of our services and pricing to find the treatment that’s right for you. Book a consultation with our expert team at The Smile Spot and start your journey toward a confident, radiant smile.

Google Rating
5.0
Based on 139 reviews
×
js_loader